Albert Einstein was a German-born theoretical physicist who is best known for developing the theory of relativity. Einstein also made important contributions to quantum theory. From Wikipedia
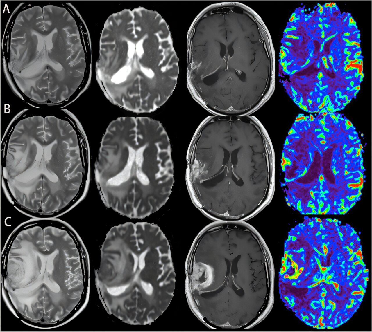
The findings recast the cancer as interacting with skull-to-brain immune channels rather than acting only within the brain.